口腔外科専門治療

口腔内でも、病気は発生します
「口の中でもがんができるのですか?」という質問をよく受けます。
              「もちろんです」というのがその答えです。
              強い香辛料や噛みタバコを愛用する国や地域では、口腔がんが高率に発症することはよく知られています。
              このような中、歯科が扱う顎口腔領域には、全身の組織のうち、生殖器と脳を除いたほとんどの組織である、骨と軟骨、筋肉、上皮、粘膜、腺、血液とリンパなどが見られます。
              また、歯という特殊な組織が存在し、食物を摂取する関門として刺激を直接受ける場所でもあります。
              このため、口腔内では多種多彩な病気が発生します。
              しかし、幸いなことに、この領域のほとんどの部分は自分で見たり、さわったりすることができるという利点もあります。
              このことから、異変を感じたら、まずは鏡で自分の口の中を見てみましょう。
              口腔内にできる病変のうち、比較的頻度の高いものを下記に解説します。
              ここに示してある写真の例は口の中にできる病気のごく一部です。おりにふれて参考にしていただければ幸いです。
口腔内病変症例
下記には、症例集を写真とともに紹介しております。
              一部に凄惨(せいさん)な写真もございますが、お口の中に異変を感じている方は、ぜひともご覧になっていただき、ご自分の症状と似たものがございましたら、どうぞ当院へご相談ください。
外骨症
二つの写真にある症状のいずれも骨が病的に隆起してできた外骨症の一種で、上は口蓋(こうがい)隆起、下は下顎隆起といわれるもので、真の腫瘍ではありません。
              この症状がある場合、発音の障害となったり、義歯を入れる際にあたったりする場合は手術をして削り取ります。
口蓋隆起
 下顎隆起
 舌小帯強直症
舌が、下顎や口底についている部分(小帯)の発達が悪く短いため、舌の前方での動きが制限され、乳児では吸乳障害、幼児以降では発音障害の原因となります。
              したがって、早い時期に切除あるいは形成手術をする必要があります。
舌小帯強直症
 唾石症
三大唾液腺である、顎下腺と舌下腺の排出管内に結石ができる疾患です。
                周囲に感染を伴うため発赤や腫れが起こり、排膿(うみ)も見られます。
                唾石が唾液の排出を妨げるため、食事の際に、痛みを伴うことがしばしばあります。
              こうした唾石が顎下腺の腺体の中にできることも多く、この場合はあごの下の腫れや痛みがひどくなります。治療としては顎下腺の摘出手術が必要です。
唾石症
 白斑(板)症
前がん病変(放置するとがんになる可能性が高い病気)の一種です。
                舌にできたもの(多くは舌の辺縁部)は特にがんになりやすいので注意が必要です。
              処置としては、切除が必要です。
白斑(板)症
 ガマ腫
通常、あごの下に腫れを起こすことが多く、横から見るといかにもガマガエルのようにみえるため、この名がついています。
                「腫」という名前が付いていますが腫瘍ではなく、唾液の出る管(排出管)が炎症などで閉鎖したため、袋状に唾液がたまった状態(のう胞という)です。
              上の部分の膜を広く切り取る(開窓術)か、唾液腺ごと切除する手術が行われます。
ガマ腫
 黒舌症 あるいは 黒毛舌
抗菌薬やステロイド薬などを長期にわたって使用したとき、口腔内の細菌の均衡が破れ、舌の表面に無数ある乳頭に、カビの類が増殖したために発生する疾患です。
              増殖する菌の種類によって、写真のように黒くなったり褐色になったり白くなったりします。
黒舌症あるいは黒毛舌
 急性偽膜性カンジダ症
雪のように見えますが、実はカンジダの塊です。
                長期にわたってステロイド薬や抗がん剤、抗菌薬を使ったり、全身的な病気のために衰弱したりして免疫機能が落ちた状態になると発症します。
              殺菌性の含嗽(がんそう)薬(うがい薬)やカンジダに効く抗菌薬で治療を行います。
急性偽膜性カンジダ症
 粘液瘤あるいは粘液のう胞
発生頻度が高い疾患のひとつです。
                粘膜の下で口腔の広い部分に存在する小唾液腺の導管が、炎症や外傷(咬傷)によってつまり、唾液の分泌ができなくなったために、袋状にたまったものです。
                破れるとしぼみ、閉鎖されるとまた腫れるという経過を繰り返します。
              治療としては、小唾液腺ごと切除する必要があります。
粘液瘤あるいは粘液のう胞
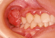
 エプーリス
一見、がんではないかと思われるかも知れませんが、口腔外科専門医ならまず誤診することはないでしょう。
                この症例はエプーリスという良性の、しかも歯周病を原因として発症したもので、原因の歯の処置を含めて切除すれば治癒します。
              このほかにも一見腫瘍のように見えて、実はそうでない腫瘍類似病変、あるいは「がんもどき」ともいえる病変が口の中にはよく見られます。
エプーリス
 口腔癌[扁平上皮がん]
写真は、歯肉から口底部に進展した扁平上皮がんと呼ばれる疾患です。専門医なら一目でがんと分かる典型的な所見です。
                どんなに進行したがんであっても、最初は小さい病変であるわけですから、少しでも心配や不安がある場合は早めに受診することが大切です。
              当院ではがんの治療はしていませんが、診断して専門の施設に紹介することができます。
口腔癌[扁平上皮がん]
 様々な大学病院との提携体制
当院は、院長が日本口腔外科学会認定の口腔外科指導医、および専門医であることから、一般歯科とともに口腔外科の診療も行っております。
            このため、局所麻酔で可能な手術に対しては、積極的に対応しておりますが、全身麻酔の必要な手術(口腔がんなど)の症例は、関連施設である三井記念病院歯科・口腔外科、東京医科歯科大学、東京大学医学部などの施設に対して診療情報提供書を作成して紹介することが可能です。







